広島県広島市佐伯区五日市5丁目6−26
ゆめモール五日市内
土曜:午前9:30~午後12:00 / 午後13:00~17:00
休診日:水、日、祝
サポートを、プロとして責任をもって
おこなっていきたい。
小児マウスピース矯正
当院の小児マウスピース矯正が選ばれる理由
1、Myobrace Memberとしての実績
当院は全国に約170院しかないMyobrace® Memberに早くから加盟し、約10年にわたりマイオブレイスというマウスピースで歯並びを矯正するMRCシステムに携わってきました。
顎や顔がどのように発育し、呼吸や姿勢が歯並びにどのように影響するのかを学び続けており、豊富な経験をもとに一人ひとりのお子さまに合わせた治療計画をご提案しています。
2、トレーニングルーム完備と専任スタッフの伴走
歯並びを整えるためには、口の中だけでなく全身のバランスが大切です。
当院では院内に専用のトレーニングルームを併設し、姿勢や体幹を調整するプログラムを提供しています。
院長は日本コアコンディショニング協会に所属し、発達と運動機能に関する知識を研鑽。お子さまが楽しみながら姿勢や呼吸を整えられるよう、専任スタッフが寄り添いながらサポートします。

3、症例写真とデータに基づく説明
初診時には呼吸や姿勢、舌の位置などを詳しく評価し、レントゲンや口腔内写真、過去の症例データを用いてご家族にわかりやすく現状と課題をお伝えします。
その上で、口呼吸や姿勢の改善を含めた治療計画を作成し、進行状況を定期的に写真や測定データで確認ながらゴールを共有していきます。
4、安全性とリスク管理の徹底
マイオブレイスは適切に使用すれば大きな効果が期待できる一方、噛むだけでは顎が後退し、顔が縦に長く伸びる“ロングフェイス”になるリスクもあります。
当院ではこうした負の側面を十分理解し、装着時間や使い方を細かく指導するとともに、体幹トレーニングや口腔筋機能トレーニングを組み合わせて安全かつ効果的に治療を進めています。
5、キッズクラブ・未就学児クラスとの連携
離乳食の進め方や運動不足が原因で体幹の発達が不十分だと、口呼吸が習慣化しやすいと考えられています。
当院では0歳から参加できるオハナクラブに加え、3~5歳児向けの「ホヌ・クラス」を設け、遊びを通じて体幹を鍛えたり正しい嚥下を身につける(嚥下指導はこの年齢には行いません)プログラムを提供しています。学童期のトレーニングと連携させることで、年齢を問わず口呼吸予防ができる仕組みを整えています。

小児マウスピース矯正|子供の歯並び矯正と口呼吸対策
歯並びが悪いリスク
子供には、笑顔がステキな大人になって欲しいですよね。
近年、食生活の変化などから顎が小さくなり、それによって歯並びが悪い子供が増えて来ているように感じます。
約9割の歯科医師が、そのように感じるとの調査結果もあるほどです。
歯並びが悪いと、見た目の印象はもちろんですが、何より虫歯や歯周病になりやすくなります。その上、運動能力にも差が出るようになると言われています。力を出す際、歯をくいしばりますからね。かみ合わせが悪いと、それだけ力が出ないと言うコトです。
昨今、小さいお子さんに見られる“偏頭痛”も、歯並びが1要因とされています。(私はこういう事実は存じ上げません)(過換気症状としてなら考えられうることです)歯並びが悪いと…
・口呼吸になる (口呼吸が原因で歯並びが悪くなります)・いびきの原因になる
・食べ物をしっかりと噛むコトができない
・アレルギーになりやすくなる (口呼吸によってなりやすくなります)
・顔がゆがむ
・頭痛や偏頭痛、肩こりなどの原因になる (呼吸補助筋の介入した呼吸になる結果これらの症状が現れる可能性はあります)

これらは、歯並びが悪いから起こるというだけでなく、これらが原因で歯並びが悪くなるという逆のパターンもあるのです。
(むしろ口呼吸が原因でほとんどが起こると考えるべきです)
例えば口呼吸ですが、口で呼吸をすると舌が下がります。口が開いているので、下顎が下へ下へと成長してしまうのです。そのため、顎の状態が不安定になり、歯並びの悪さへと繋がって行きます。
※この表現の方が分かりやすいならこれで良いですが、本来は姿勢の悪化により頭位が上がる(回転する)ことにより口蓋(上顎)と舌の関係が断たれてしまうために口の中では「あたかも」舌が落ち込んだように見えているだけです。
この頭位が上がったことに対して口が開きやすくなるのが「口ポカン」の原因です。だから発達により正しい姿勢を身に付けさせることがとても大切なのです。
その上、カビやダニ、ウィルスなどの病原菌などが直接、喉の粘膜から体に取り込まれてしまいます。何ひとつ、良いコトはありません。

歯並びを悪くする習慣
歯並びは自然には治りません。
悪くなってから治すのではなく、悪くなる前に治しましょう。
・鼻が詰まりやすい
・口をぽかんと開けているコトが多い(口呼吸)
・口が臭う
・いびきをよくかく
・喉が腫れたり、風邪をひきやすい
・食べ物を噛んだり、飲み込むのが苦手
・舌や指で、歯で押すクセがある
・指しゃぶりをする
・歯ぎしりをする
このような症状があれば、ご相談ください。
小児マウスピース矯正とは|ワイヤーを使わない咬合育成
当院ではマイオブレイスというマウスピースを使用しております。
マイオブレイスはワイヤーを用いた従来の矯正とは違い、柔らかいマウスピース型の装置を使って舌や口唇・頬の筋肉を正しく働かせることで歯並びを整えます。取り外し可能で日中1時間と就寝時に装着し、上顎や顔の自然な成長を促しながら気道の発育もサポートします。また痛みが少ない事も特徴です。
単に歯を動かすのではなく、正しい呼吸や嚥下の習慣づけを行うため、小児期に取り組むメリットが大きい治療法です。
小児マウスピース矯正の開始時期
矯正を始める時期はお子さまの発育に合わせて決めますが、一般的には乳歯がほぼ生え揃う5歳頃からのスタートがおすすめです。この頃は鼻呼吸や舌の位置などの癖が固まる前であり、上顎や呼吸器が急速に成長する時期でもあります。
早い段階で正しい呼吸や姿勢を身につけることで、顎が理想的に発育し、その後の歯列矯正もスムーズになります。
他の矯正法との比較
ワイヤー(ブラケット)矯正
■メリット
・ほとんどの歯並びに対応できる
・歯の並びに細かい調整ができる
■デメリット
・目立つ
・食べ物が詰まりやすい
・キャラメルやガムは、食べられない
・慣れるまで、不快感がある
・約1ヶ月に1回の通院が必要
インビザラインファースト
■メリット
・器具が目立ちにくい
・取り外しが可能
・衛生的
・不快感や痛みが少ない
・費用の幅が広い
・通院のペースが長い
■デメリット
・1日20時間以上の装着が必要
・紛失や破損の可能性がある
・付けたまま飲食はできない
・歯を並行に移動させる歯体移動が苦手ですので抜歯矯正の場合はワイヤー矯正と併用する必要がある場合がある
小児矯正と成人矯正の違い
小児矯正は成長途中の顎や顔の発育を利用し、舌や呼吸の機能を整えながら前方へ(顎を大きく育てる)の成長を促すことで、将来的ないびきや無呼吸の予防も視野に入れた“予防医療”の側面が強い治療です。
一方、成人矯正は成長が終わった骨に対して歯を動かし、主に見た目を整える審美的な治療が中心になります。
当院で行っているMRCシステムとは:装置とトレーニングの一体型矯正
装置とトレーニングの一体型矯正
MRCシステムでは、矯正装置をただ装着するだけでなく、舌や口唇・頬の筋肉を正しく使い、呼吸や姿勢を整えるトレーニングを併せて行います。
全身の(体幹を整え)姿勢バランスを整えながら自然な顎の発達を引き出すため、歯並びだけでなく全身の健康にも良い影響をもたらし、長期的に安定した咬合へと導きます。
マイオブレイスの特徴
マイオブレイスは医療用シリコン製で、人工血管にも使われるほど生体親和性の高い素材を採用しています。柔らかく弾力があり、お口の中で異物感が少ないため、舌や唇の動きを妨げません。
装置に頼って歯を動かすのではなく、正しい筋肉の動きを引き出す設計となっており、顔の健全な発育をサポートします。
マイオブレイス単独使用のリスク
マイオブレイスを厚みのあるマウスピースとして噛むだけに使うと、顎が後退して顔が縦に伸びる“ロングフェイス”のリスクが高まります。
顎が下方向へ成長すると咽頭が狭くなり呼吸がしづらくなることもあるため、装置単体ではなくトレーニングとBWSというワイヤー装置を一時期併用し、前方成長も促して行きます。マイオブレイスは使用時間や方法を守ることが大切です。
必要に応じて使用するマウスピース矯正装置
インビザラインファースト
インビザラインファーストは、永久歯への生え変わりが始まったお子さま向けの透明なマウスピース矯正です。取り外しができて目立ちにくく、学校生活やスポーツの際にもストレスが少ないのが特長です。
ただし歯並びを整えることが主な目的で、顎や気道の発育を促す効果はありません。歯列を早く整えたい方やワイヤーに抵抗がある方に適した選択肢としてご紹介しています。

どうして口呼吸が歯並びや顔の成長に影響するの?
口呼吸と姿勢・舌位置・気道の関係
離乳を早く終えてしまい、奥歯が生えそろわないうちに硬いものをほおばって食べると、噛まずに丸飲みするクセがつきやすく、背中を丸めて顎を突き出すような姿勢が身に付きがちです。この姿勢では骨盤が後傾し、舌は上顎から離れてしまい、歯は舌と唇のバランスが崩れて内側に倒れやすくなります。
また猫背になると胸郭が圧迫され肺での呼吸がしづらくなるため、身体は自然と口を開けて呼吸しようとします。
こうした悪循環が口呼吸と歯並びの乱れを招くため、食事や姿勢の見直しが重要です。
口呼吸とロングフェイス・上顎の成長不足
口呼吸を続けていると舌が後ろに下がり、上顎を正しく押し広げる力が働きません。
その結果、上顎や中顔面が前方に成長せず、顎全体が下方向へ伸びるロングフェイス傾向になります。
顔が縦長になるだけでなく、咽頭の空間が狭まり、いびきや睡眠時無呼吸のリスクが高まります。
鼻呼吸へ導くポイント(MFT/体幹・呼吸トレーニング)
「鼻で呼吸しよう」と意識しても、本当の意味で鼻呼吸は習慣化しません。呼吸は脳幹レベルの反射で行われるため、姿勢や舌の位置など環境を整えて自然に鼻呼吸が起こるようにすることが大切です。
当院では、体幹や骨盤の角度を整える体操や舌と口蓋が軽く接触する姿勢を保つトレーニングを通じて口を閉じる環境を作り、無意識の鼻呼吸を促しています。
対象年齢と内容
食習慣と正しい噛み方の見直し
噛む力は単に硬い食べ物を与えれば育つわけではありません。
臼歯が生えそろわないうちに大人と同じ食事を与えると噛まずに飲み込むクセがつき、猫背や顎を突き出す姿勢が身につきやすくなります。お子さまの発達段階に合わせて軟らかい食材や小さく切った食べ物から始め、少量をゆっくり噛む習慣をつけることが大切です。
こうした日々の積み重ねが正しい嚥下と姿勢を育みます。
当院では0歳〜6歳(小学校入学前)のお子さまを対象にした予防プログラムであるオハナクラブに入会されたお子さんには検診時に指導を行っております。(入会金や年会費は無料です)
>>子供の予防プログラム(オハナクラブ)の詳細
ご家庭でできる習慣づくり(呼吸・姿勢・食事)
家庭でのちょっとした習慣が、正しい姿勢や呼吸を育てます。
食事の際はお茶碗やお皿を持ち、足をしっかり床につけて背筋を伸ばしましょう。また日常的にたくさん歩いたり体を動かしたりして、骨盤の角度を正常に保つことも重要です。
毎日の生活の中で姿勢や呼吸を意識することで、鼻で自然に呼吸する力が身につきます。
MFT(口腔筋機能療法)と体幹・呼吸トレーニング
就学児にはMFT(口腔筋機能療法)と体幹・呼吸トレーニングを行います。
MFT(口腔筋機能療法)は舌や唇、頬の筋肉を鍛えるトレーニングですが、体幹の発達が未熟だと正しい動きが身につきません。
当院ではMFTを単独で行うのではなく、体幹トレーニングや呼吸トレーニングと組み合わせ、正しい姿勢や嚥下を繰り返し練習します。これにより日常生活の中でも無意識に良い姿勢と呼吸ができるように習慣化していきます。
未就学児向けには矯正ではなく、ホヌ・クラスにて体幹のトレーニングを行っております。
>>ホヌ・クラスについて
小児マウスピース矯正の流れ
初診無料カウンセリング
初診ではまず保護者の方とお子さまのお話を丁寧に伺い、現在の歯並びや呼吸、姿勢のお悩みを共有します。マイオブレイスやMRCシステムの仕組みや治療の流れをわかりやすくご説明し、ご不安や疑問にもお答えします。
カウンセリングは無料ですのでお気軽にご相談ください。
精密検査(レントゲン・CT・iTero・口腔機能・姿勢・呼吸評価)
治療を始める前に、歯や顎の成長状態を詳しく把握するための検査を行います。
レントゲンや口腔内写真に加え、姿勢や呼吸の様子を動画撮影することもあり、必要に応じてCTやiTeroスキャンで詳細なデータを取得します。
これらの情報をもとに顎の成長方向や舌の位置、気道の広さを分析します。
治療ゴール設定と装置選択(マイオブレイス/インビザライン)
検査データをもとに院長が診断を行い、お子さまにとって最も効果的な治療法と目標を設定します。
基本はマイオブレイスを中心に、必要に応じてインビザラインファーストなどを組み合わせ、気道の発育と歯並びの両方を改善します。
ご家族のご希望やライフスタイルも考慮しながら、一緒に無理のない計画を立てます。
装置装着開始・定期的なトレーニング
治療開始後はまずマイオブレイスを装着し、ご自宅での扱い方を練習します。
装着は日中1時間と夜間が基本で、月に1回のペースで体幹や呼吸のトレーニング、舌のトレーニングなどを行います。
成長に応じて装置の調整や種類の変更を行いながら、定期来院で進行状況を確認します。
治療終了
MRCシステムでは、治療完了後に歯を固定する保定装置を基本的には使用しません。成長期に歯を縛り付けると自然な発育を妨げるため、トレーニングによって舌や体幹が正しく機能するようになることを目指します
治療終了後も定期検診や必要に応じたトレーニングを続け、良い状態を維持します。
治療期間・通院回数の目安
治療期間は個人差がありますが、おおよそ2年を目安としています。この間、月1回程度の通院と毎日の装置使用が必要です。
成長速度や習慣の改善度によって前後しますので、定期検診で進み具合を確認しながら調整します。
小児マウスピース矯正の費用と目安
マイオブレイスの費用
装置費用は年齢により異なります。
未就学児 495,000円(税込み) 小学校1〜3年生 550,000円(税込み) 小学校4年生以上 660,000円(税込み) インビザラインの費用
全年齢 ※1,100,000円(税込み)
お子様の歯並び相談について
LINEで相談
ご来院前に気になることがあれば、当院の公式LINEからいつでもご相談いただけます。
お子さまのお口の写真やお悩みをお送りいただければ、スタッフが初診前にアドバイスをお返しいたします。ちょっとした疑問や不安もお気軽にお寄せください。
予約方法
お電話、もしくはWEB予約システムよりご予約ください。
小児マウスピース矯正の治療例
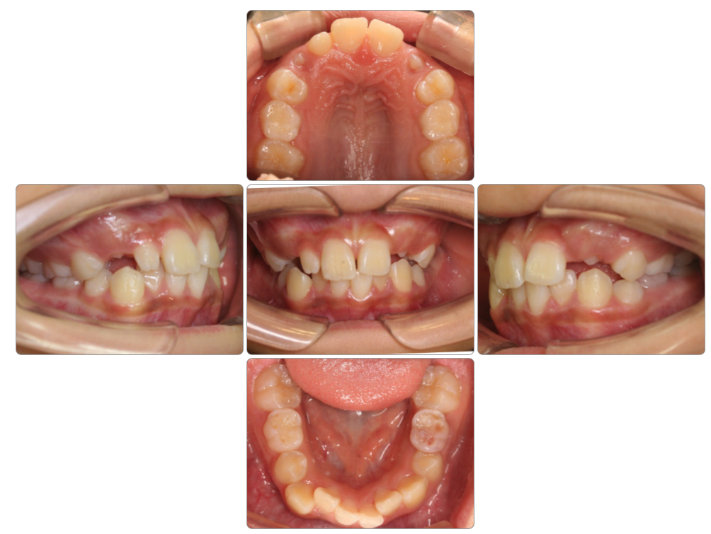
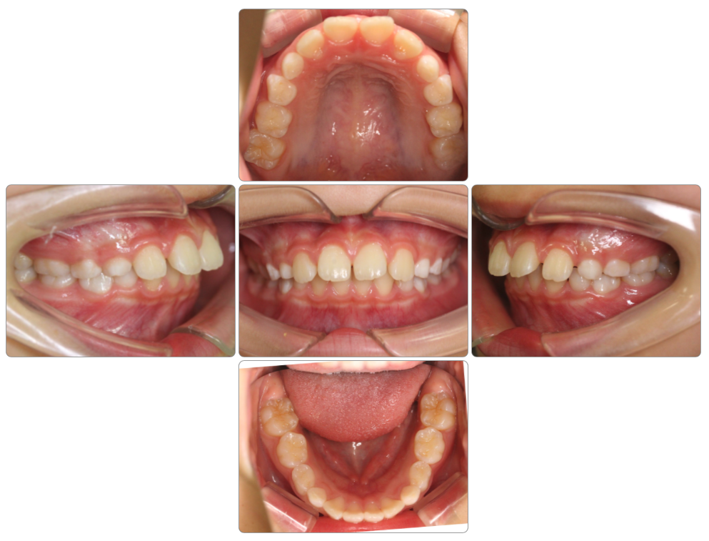
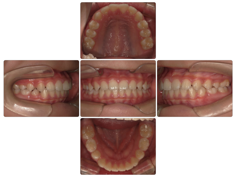
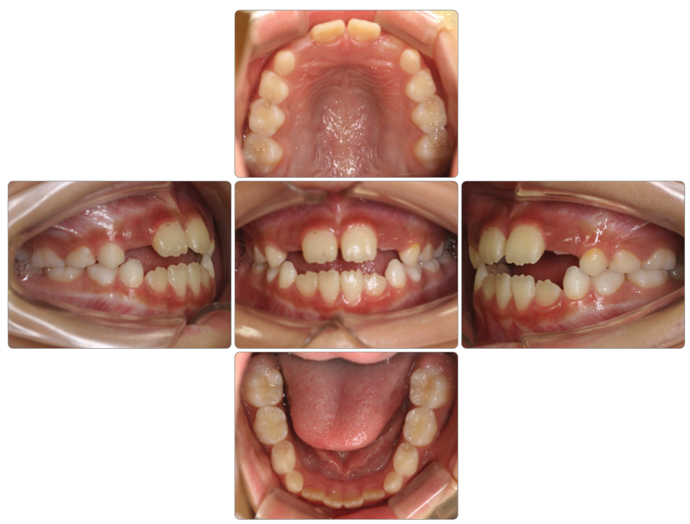
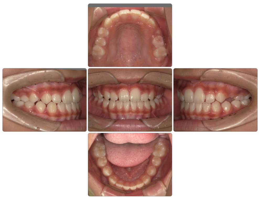
叢生の治療例
Before

after

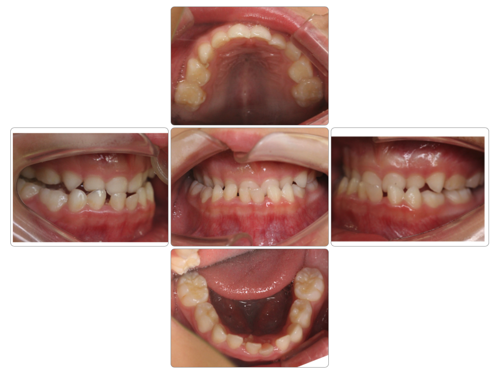
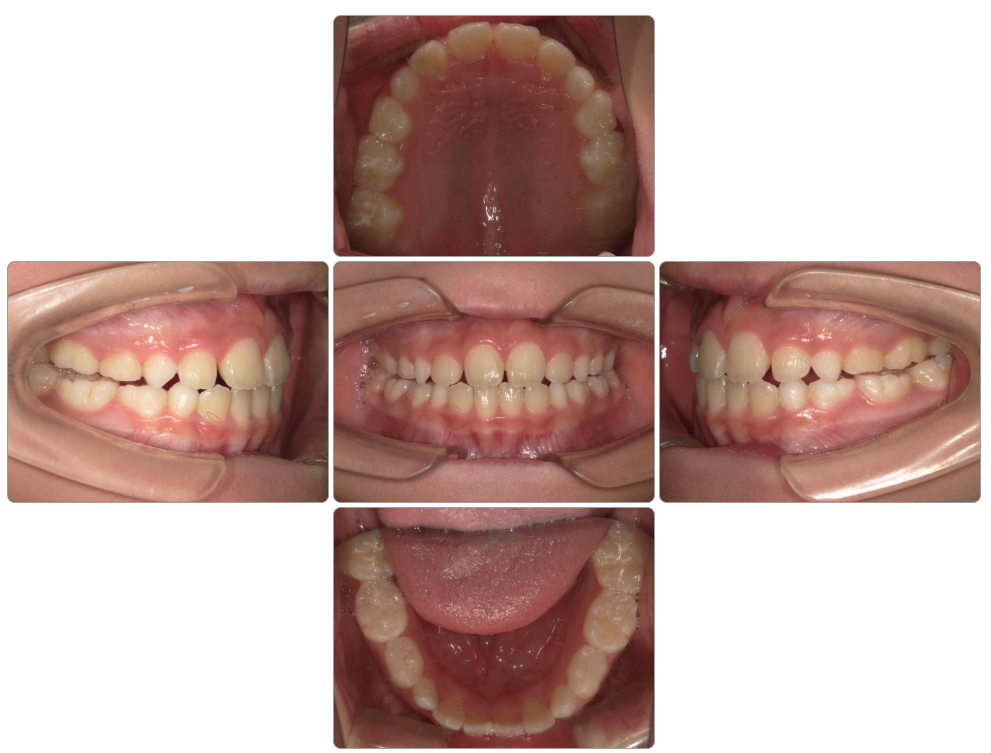
| 初診時 | 9歳8ヵ月 |
| 治療期間 | 1年半 |
| 費用 | ¥550,000・調整料¥5,500/月 |
| 使用装置 | マイオブレイス |
| リスクと副作用 | |
| 原因と考察 | 頭位が上がった姿勢になっているために舌が口蓋(上顎)に触れていません。このため口蓋の広がりが悪く歯並びが小さくなっているようです。マイオブレイスと共に正しい姿勢で生活できるようになることでその後の後戻りリスクが下がると思います。 |
Before

after

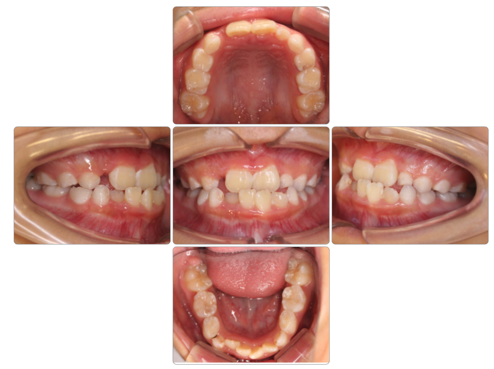
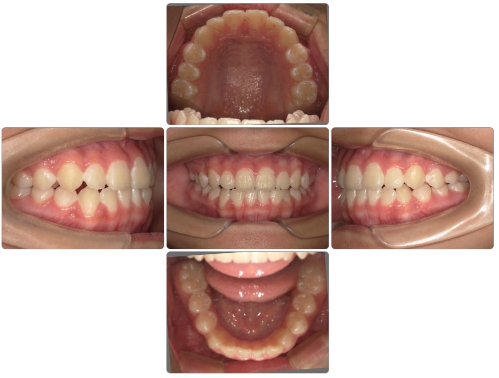
| 初診時 | 8歳0ヵ月 |
| 治療期間 | 1年半 |
| 費用 | ¥550,000・調整料 ¥5,500/月 |
| 使用装置 | マイオブレイス・BBI・BWS |
| リスクと副作用 | |
| 原因と考察 | 顎の上がった姿勢になっており舌が前歯の裏側にまで届いていません。ここに丸飲み習慣が重なり前歯が後ろに倒されています。体幹指導と共に丸飲みにならないための食生活指導が必要です。 |
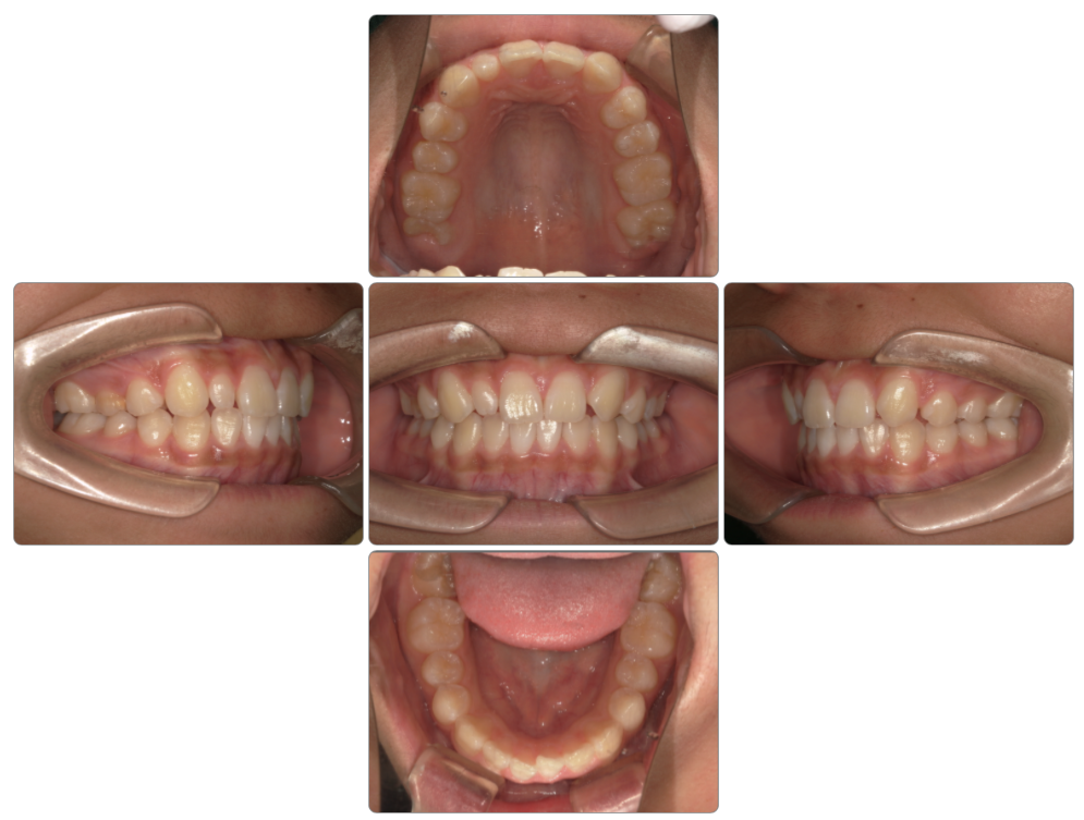
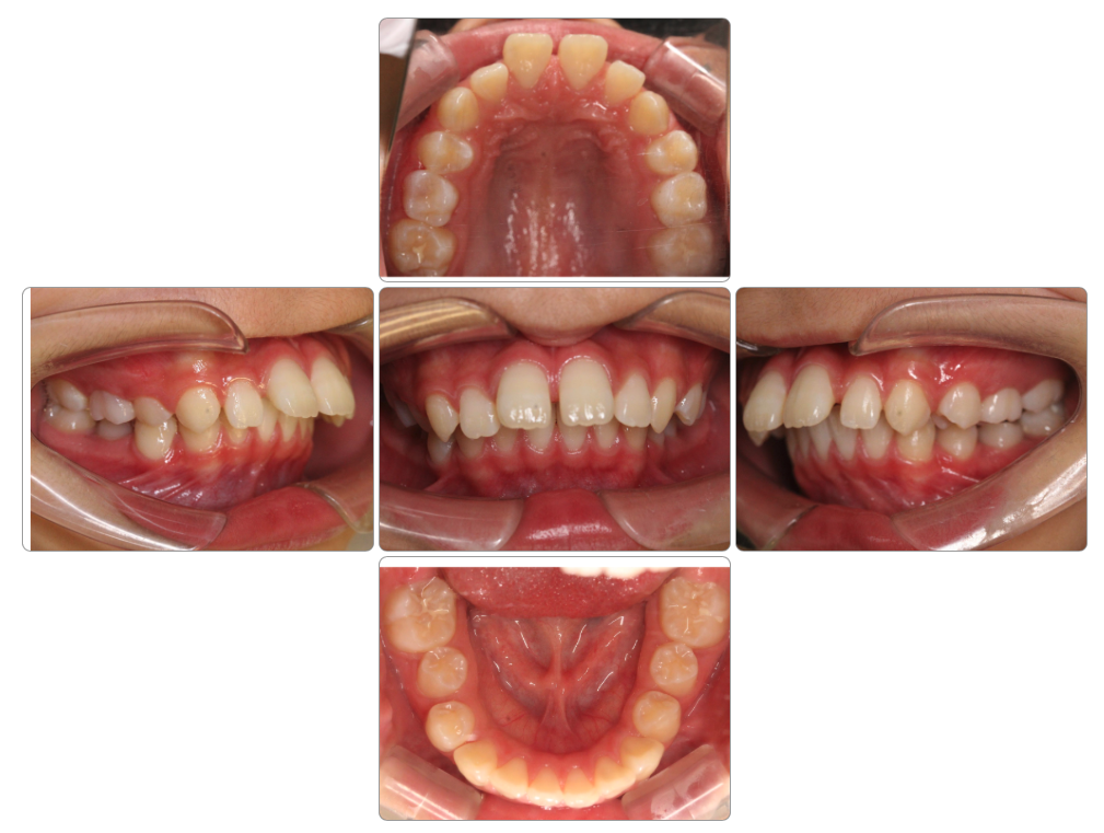
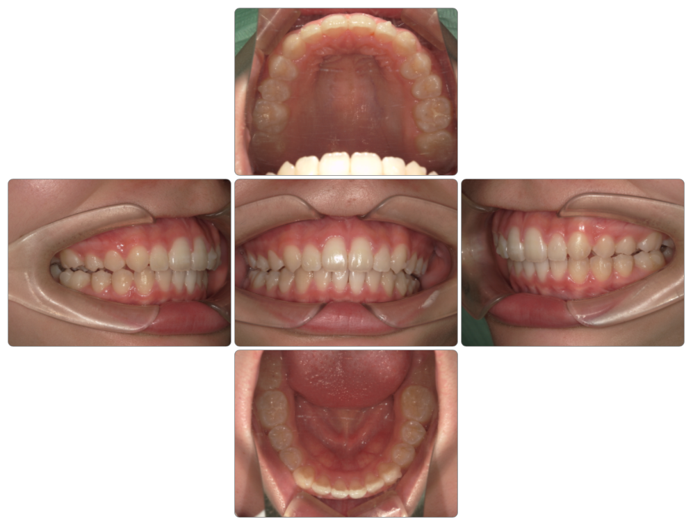
上顎前突の治療例
Before

after

| 初診時 | 8歳1か月 |
| 治療期間 | 2年2ヵ月 |
| 費用 | ¥550,000 調整料・¥5,500/月 |
| 使用装置 | マイオブレイス・BWS |
| リスクと副作用 | |
| 原因と考察 | 頚椎成長が足りないために下顎骨の高さが育っていません。このことが口腔の高さが不足しています。マイオブレイスを使用していると厚みがある分下顎骨の高さがますのでこのように過蓋咬合が改善に導かれます。ただ全身の問題で考えると頚椎成長を促すような生活指導は原因除去という点では欠かせません。 |
Before

after

| 初診時 | 11歳6ヵ月 |
| 治療期間 | 2年半 |
| 費用 | ¥1,100,000 |
| 使用装置 | マイオブレイス・インビザライン |
| リスクと副作用 | |
| 原因と考察 | MRCとインビザラインの併用症例です。MRCにおいて顎の成長を促し抜歯を回避しながらインビザラインで歯並びを整えました。このように歯列に対してアプローチした矯正では後戻りリスクが高いので保定装置は欠かせません。 |
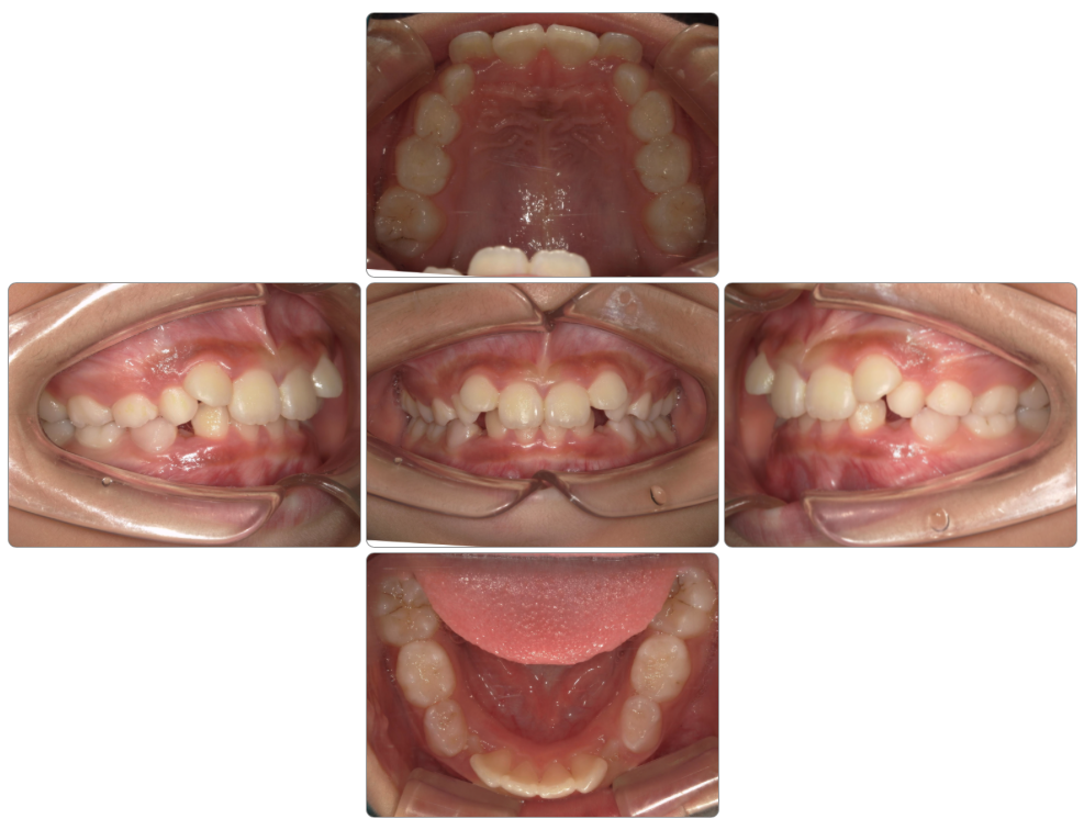
反対咬合の治療例
Before

after

| 初診時 | 6歳0ヵ月 |
| 治療期間 | 3年経過 通院中 |
| 費用 | ¥550,000・調整料¥5,500/月 |
| 使用装置 | マイオブレイス・BBI |
| リスクと副作用 | |
| 原因と考察 | 反対咬合は骨格性のものとそうでないものがあります。このお子さんは骨格性ではないのでマイオブレイスで改善しやすいと言えます。骨格性ではない反対咬合さんでは舌が口蓋をサポートしていないことで上顎部分が落ち込む(クロックワイズローテーション)ことで舌の前歯の後ろに上の前歯が入り込んで反対咬合になっている場合がほとんどですので、マイオブレイスを使用して舌が口蓋をサポートしてくると簡単に正常な状態に改善します。このお子さんの場合やや骨格も原因に入っているようですので後戻りには注意が必要ですが、基本的には姿勢・頭位を正しくすることで対応する必要があります。 |
Before

after

| 初診時 | 6歳10ヵ月 |
| 治療期間 | 3年 |
| 費用 | ¥550,000 調整料 ¥5,500/月 |
| 使用装置 | マイオブレイス プレオルソ BWS |
| リスクと副作用 | |
| 原因と考察 | 姿勢により上顎が舌によりサポートされていないことと丸飲み生活が歯列をこんなに小さくしてしまいました。このこの場合なかなか反対咬合が改善されなかったのでプレオルソを使用してみましたが、プレオルソはどちらかというと歯に対するアプローチですので使用期限を定めて使用するべきだと考えています。(下顎を後方に押し込める傾向があるように思います)基本的には姿勢が舌位を決めますので正しい姿勢指導は不可欠です。 |
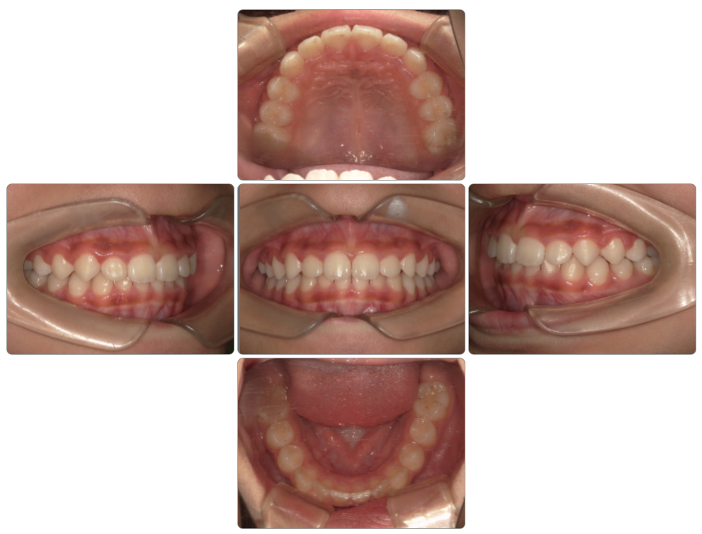
開咬(オープンバイト)の治療例
Before

after

| 初診時 | 8歳3ヵ月 |
| 治療期間 | 2年半 |
| 費用 | ¥550,000・調整料¥5,500/月 |
| 使用装置 | マイオブレイス:BBI・クワドヘリックス |
| リスクと副作用 | |
| 原因と考察 | オープンバイトは上下の顎の前方成長が不足すること舌が上下の歯の間に入ってしまう状態が災いしていると考えております。簡単にいえば舌の長さが前歯を追い越しているような状態。このような場合顎の前方成長の不足は気道の成長不足を意味しますので閉塞性無呼吸症のリスクが高いと考えられます。マイオブレイスを使用することで顎の成長を促し正しい姿勢に導くことでさらに顎が前に成長できるように促す必要があります。さらに小児マウスピース矯正の治療例を閲覧されたい方はこちら |
姿勢の変化
| 初診時 | 8歳3ヵ月 |
| 治療期間 | 2年半 |
| 費用 | ¥550,000・調整料¥5,500/月 |
| 使用装置 | マイオブレイス:BBI・クワドヘリックス |
| リスクと副作用 | |
| 原因と考察 | オープンバイトは上下の顎の前方成長が不足すること舌が上下の歯の間に入ってしまう状態が災いしていると考えております。簡単にいえば舌の長さが前歯を追い越しているような状態。このような場合顎の前方成長の不足は気道の成長不足を意味しますので閉塞性無呼吸症のリスクが高いと考えられます。マイオブレイスを使用することで顎の成長を促し正しい姿勢に導くことでさらに顎が前に成長できるように促す必要があります。 |
>>さらに小児マウスピース矯正の治療例を閲覧されたい方はこちら
よくある質問(FAQ)
治療開始の適齢期と装置の使用方法
矯正を始める目安は5歳前後ですが、お子さまの発育や歯の生え変わり状況によって変わります。
装置はお口に入れて自然に噛むだけで使え、日中1時間と夜間の装着が基本です。
使用中は舌を上顎に置き、鼻で呼吸することを心がけてください。
家庭や学校での装着・食事・清掃の疑問
マイオブレイスは家にいる時間と寝るときに使用するため、学校や習い事で装着しておく必要はありません。
ただし治療の進行に合わせて一時的に補助装置を併用することがあり、その際は装着時間やお手入れ方法を詳しくご説明します。
食事中は必ず装置を外し、朝晩と食後に丁寧に歯磨きを行いましょう。
治療後の保定や長期的なケアについて
治療終了後も定期的な検診にお越しいただき、歯並びや咬み合わせの変化をチェックします。
成長や生活習慣の変化で後戻りが見られる場合は、再度トレーニングや装置の使用を行うことがあります。
良い状態を長く維持するために、一緒にサポートしていきましょう。
- 0歳から見守ります
-
私たちは治療を
減らすことが目標です - 原因から治す目立たない矯正歯科
-
絶対にあなたの治療を減らす
予防歯科(FMD)

